Before choosing the right dental clinic for your family, you need careful consideration. Whether it is a simple checkup or an advanced surgery, an experienced dentist will make you more comfortable and confident. If you’re in HSR Layout, Bangalore, then here are some of the tips to help you find the best dental clinic in HSR Layout.
Trust and Reputation
No one has the courage to consult with a doctor with a minimum degree and without prior experience. Each and every one prefers an experienced one with a high reputation, for example, a doctor with many customers, a good history in their work, and good online reviews. So, inquiring about the clinic is a best practice; other than that, check online reviews and check the client testimonials. All these options really make it good.
Range of Services
Check with the range of services provided in the clinic. Choose the place that is a one-stop destination for your whole family. For example, some doctors usually don’t check and resolve kids’ related problems. So, finding a clinic that can provide services for kids to the elderly is a good choice.
Experience and Customer Support
No one likes to visit an inexperienced doctor and the team. Make sure the dental clinic has an experienced staff and doctors to seamlessly perform the operations. The dentist and staff should be able to explain treatment options clearly and make you feel comfortable during every visit.
Location
Location is paramount because all prefers the nearest clinic location first. No one is comfortable travelling 2 or 3 hours for a dental checkup. So, if you’re living near our location, then book an appointment with us for all your dental-related queries and needs. Our clinic location is at HSR Layout, Bangalore, and we’re proudly serving all our services in the center of the town.
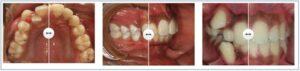
Check Patient Transformations


Analyzing a before-and-after transformation of the old patients is inevitable. From that, you’ll get a clear picture based on the doctor’s and the clinic’s abilities.
The above picture describes the transformation of our patient’s journey.
We could do our best for our patients, and we’ll be doing it in the future too. So, choosing Braceport Dental is not at all a bad idea. Moreover, we provide emergency dental services in our clinic too.
Choosing the right family dental clinic doesn’t have to be complicated. By keeping these simple factors in mind, you can find a dentist who meets your family’s needs and provides quality care for everyone. So take your time, ask questions, and choose a clinic that makes you and your family feel at ease every time you visit.
Look no further if you’re looking for the best dentist in HSR Layout. Contact us at Braceport Dental Clinic, your trusted family dental clinic that you can count on for years to come!




